Vậy tràn dịch màng phổi là gì? Làm thế nào để phát hiện, chẩn đoán và điều trị tình trạng này? Mời bạn cùng Bảo hiểm sức khỏe Bowtie tìm hiểu rõ hơn trong bài viết dưới đây nhé.
Tràn dịch màng phổi là tình trạng tích tụ dịch quá mức trong khoang màng phổi, khoảng không gian ảo nằm giữa màng phổi lá thành và màng phổi lá tạng. Trong đó, màng phổi lá tạng bao bọc sát vào nhu mô phổi, lách và các khe của thùy phổi còn màng phổi lá thành lót mặt trong của thành ngực.
Bình thường, khoang màng phổi chỉ chứa một ít thanh dịch để giúp lá thành và lá tạng trượt lên nhau dễ dàng trong các động tác hít thở. Tuy nhiên, một số nguyên nhân có thể gây mất cân bằng giữa quá trình tiết dịch và hấp thu dịch trong khoang màng phổi, làm rối loạn lưu thông dịch và gây tràn dịch màng phổi.
Tại Việt Nam, có khoảng 1000 trường hợp được chẩn đoán tràn dịch màng phổi mỗi năm. Đặc biệt, một số ca có mức độ tràn dịch màng phổi nặng dẫn đến tử vong.
Hiện nay, bệnh lý tràn dịch màng phổi thường được chia thành 2 loại chính:
Một số bệnh nhân bị tràn dịch màng phổi không biểu hiện bất kỳ triệu chứng nào. Trong khi đó, một số khác lại có các dấu hiệu như:
Trường hợp tràn dịch màng phổi ở người lớn tuổi, người mắc bệnh hiểm nghèo thì thường không có triệu chứng sốt.
Tùy vào từng loại mà nguyên nhân gây tràn dịch màng phổi có thể khác nhau. Theo đó, các nguyên nhân phổ biến gây tràn dịch màng phổi dịch thấm là:
Trong khi đó, tràn dịch màng phổi dịch tiết thường được gây ra bởi:
Một số nguyên nhân khác ít phổ biến hơn cũng có thể gây tích tụ dịch trong khoang màng phổi, bao gồm:
Mức độ nghiêm trọng của tràn dịch màng phổi phụ thuộc vào nguyên nhân gây bệnh cụ thể. Tình trạng tràn dịch màng phổi nhẹ sẽ làm ảnh hưởng đến đường thở. Trong khi đó, tích tụ quá nhiều dịch ở khoang màng phổi có thể gây nguy hiểm đến tính mạng người bệnh.
Ngoài ra, bệnh nhân bị tràn dịch màng phổi còn có khả năng gặp phải một số biến chứng như:
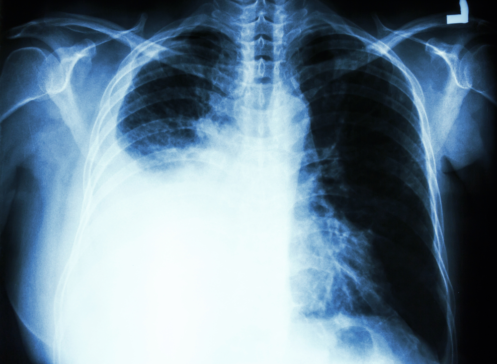
Các phương pháp thường được sử dụng để chẩn đoán và đánh giá tình trạng tràn dịch màng phổi là:
Ngoài ra, một số kiểm tra và xét nghiệm khác cũng được thực hiện để tìm kiếm nguyên nhân gây tràn dịch màng phổi như siêu âm tim, siêu âm ổ bụng và gan, xét nghiệm nước tiểu, sinh thiết phổi, nội soi phế quản…
Việc lựa chọn phương pháp điều trị tràn dịch màng phổi sẽ dựa trên nguyên nhân gây bệnh và mức độ nghiêm trọng của các triệu chứng.
Theo đó, thuốc lợi tiểu và các loại thuốc điều trị suy tim khác thường được sử dụng trong điều trị tràn dịch màng phổi do suy tim xung huyết. Trường hợp bệnh do nhiễm khuẩn có thể được chỉ định kháng sinh hoặc trường hợp bệnh do lao sẽ được sử dụng thuốc kháng lao. Nếu bị tràn dịch màng phổi ác tính, bệnh nhân có thể cần điều trị bằng hóa trị, xạ trị hoặc truyền thuốc vào ngực.
Tình trạng tích tụ dịch trong khoang màng phổi gây ra triệu chứng hô hấp thường cần dẫn lưu bằng phương pháp chọc hút dịch màng phổi trị liệu hoặc thủ thuật mở thông thành ngực bằng ống.
Đối với bệnh nhân bị tràn dịch màng phổi không kiểm soát được hoặc vẫn tái phát do bệnh lý ác tính mặc dù đã dẫn lưu dịch màng phổi thì bác sĩ có thể đưa các chất xơ hóa vào khoang màng phổi. Việc xơ hóa màng phổi có khả năng ngăn ngừa 50% nguy cơ tái phát tràn dịch màng phổi.
Nếu tình trạng tràn dịch màng phổi không được kiểm soát bằng các phương pháp khác, bệnh nhân có thể cần điều trị bằng phẫu thuật. Hai phương pháp phẫu thuật thường được sử dụng là:
Tràn dịch màng phổi sau khi đã điều trị vẫn có khả năng tái phát. Sở dĩ như vậy là do bệnh không được điều trị tận gốc và đúng cách. Đặc biệt, tràn dịch màng phổi ác tính có khả năng tái phát nhanh chóng, đôi khi chỉ trong vòng một tháng sau lần chọc hút dịch màng phổi ban đầu.
Một số loại thực phẩm mà người bị tràn dịch màng phổi nên bổ sung vào chế độ ăn uống:
Đặc biệt, bệnh nhân nên uống đủ nước mỗi ngày để cơ thể khỏe mạnh. Ngoài ra, người bệnh cũng nên hạn chế:
Hy vọng qua bài viết này, bạn đã hiểu hơn về tình trạng tràn dịch màng phổi. Trong trường hợp nhận thấy các triệu chứng nghi ngờ, hãy đến bệnh viện để được bác sĩ thăm khám, kiểm tra và chẩn đoán chính xác nhất.
© 2026 Bản quyền thuộc Bowtie Vietnam Company Limited.

